ATH5010_顯微高光譜成像分析系統
|
顯微高光譜成像分析系統 |
ATH5010 |
綜合概述
ATH5010是奧譜天成推出的一款體積小、高清、高質量的顯微高光譜成像儀,主要功能是掃描細微樣品,可得到不同區域的反射率曲線,由高倍數顯微鏡、高光譜成像儀、數據處理工作站等組成。
ATH5010采用1920×1024像素(最高2048×2048像素)的高光譜成像成像器件,成像清晰、噪點少。ATH5010采用高穩定、高藍、高紅外、長壽命LED照明光源,并且采用同軸照明光源設計,使用起來非常方便,且長時間無需更換光源等維護操作。
ATH5010成像光譜技術對樣本進行光譜成像,具有快速、準確、光譜分辨率高、空間分辨率高及通用性強等特點,可進行醫學、病理學、制藥以及生命科學等方面的研究,可作為醫療機構、科研機構、醫學院校、制藥企業的實驗研究設備。
|
型號 |
特征 |
|
ATH5010 |
正置型,400~1000nm |
|
ATH5010-17 |
正置型,900~1700nm |
|
ATH5010-25 |
正置型,100~2500nm |
|
ATH5010-4-17 |
正置型,400~1700nm |
|
ATH5010-4-25 |
正置型,400~2500nm |
產品特征
l 多種波段范圍可選
l 高光譜分辨率
l 物鏡倍數:
n 標配:5×、10×、20×
n 選配:40×、100×
l 500萬像素可見光相機
l 高穩定、高藍鹵素燈
l 同軸照明光源
l 高穩定、高藍、高紅外、長壽命LED照明光源
l 長壽命照明光源
l 正置型、倒置型可選
產品應用
l 醫療機構:癌組織篩查、血細胞分類
l 半導體晶圓檢測
l 科研機構、大專院校
l 制藥企業:中藥材的防偽
l 食品安全:肉源鑒定
l 微塑料的鑒別
l 礦物質的篩查
l 司法鑒定:文檢鑒定
l 生物學:細菌、細胞分析
l 材料學:材料微觀檢測
l LED發光面的均勻性分析

1. 顯微高光譜的應用案例
1.1. 顯微高光譜在腫瘤組織檢測的應用
醫學高光譜圖像將二維空間圖片與一維光譜信號合并為一個三維數據立方體。結合光譜和成像技術,醫學高光譜圖像的本質是反映材料以及在分子級別的電磁波下如何吸收和反射光線。它不僅包括豐富的空間信息,更包含許多稱之為光譜特征的連續窄波段,這樣能夠準確地區分不同的血細胞。目前,醫學高光譜成像技術已應用于舌腫瘤、腸道缺血及癌癥、出血性休克、醫療食品安全以及其它診斷學的檢測。

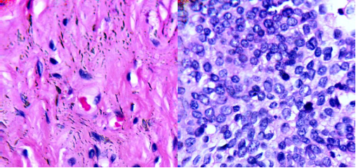
(a)100X宮頸癌非腫瘤切片;(b)100X宮頸癌腫瘤切片

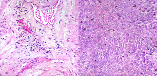
(a)40×膀胱癌非腫瘤切片;(b)40×膀胱癌腫瘤切片

醫用顯微成像光譜儀數據
1.2. 顯微高光譜在血細胞檢測的應用
血細胞分類在診斷學中作用巨大。例如,細胞譜相的識別與某個特定的疾病相關聯,以及白細胞的計數已被證明與多種疾病相關聯,包括肥胖、吸煙、過敏性哮喘等。最初,血細胞分類與計數在顯微鏡下手工進行,這樣不僅費時,而且錯誤率較高。自動血細胞分類能在數字顯微成像技術下實現。由于不同類型的血細胞形狀相似,細胞分類的準確性和特異性仍然對傳統的顯微成像技術造成挑戰。醫學高光譜圖像將二維空間圖片與一維光譜信號合并為一個三維數據立方體。結合光譜和成像技術,醫學高光譜圖像的本質是反映材料以及在分子級別的電磁波下如何吸收和反射光線。它不僅包括豐富的空間信息,更包含許多稱之為光譜特征的連續窄波段,這樣能夠準確地區分不同的血細胞。目前,醫學高光譜成像技術已應用于舌腫瘤、腸道缺血及癌癥、出血性休克、醫療食品安全以及其它診斷學的檢測。

醫學高光譜圖像數據庫的不同波長的波段

(a)背景、白細胞和紅細胞偽彩色圖像;(b)實際分布圖
